Ендодонтия

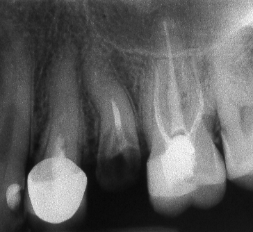
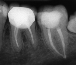
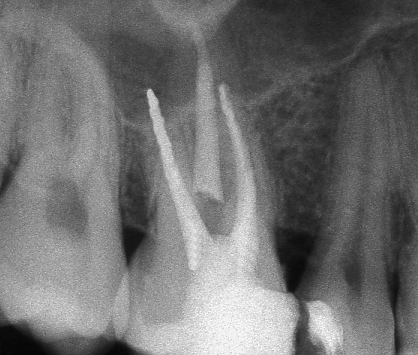
Ендодонтията е раздел от съвременната дентална медицина, който раздел изучава физиологията и патологията на вътрешната част на зъба - пулпна кухина и коренови канали. Названието на раздела идва от старогръцки - ендос - представка за вътрешност и одонтос - зъб. Това е една от научните дисциплини, които претърпяха голямо развитие през последното деситилетие.

Ако имате нужда от ендодонтско лечение, можете да си запазите час на телефон 032 642056. Ще се опитаме да ви окажем квалифицирана и адекватна медицинска помощ.
Ако сте зъболекар и имате нужда от материали за ендодонтия, обадете се на телефон 032 250606 или 0700 1 5252 - повикването е на цената на един градски разговор

Зъбни импланти Екип от млади зъболекари
